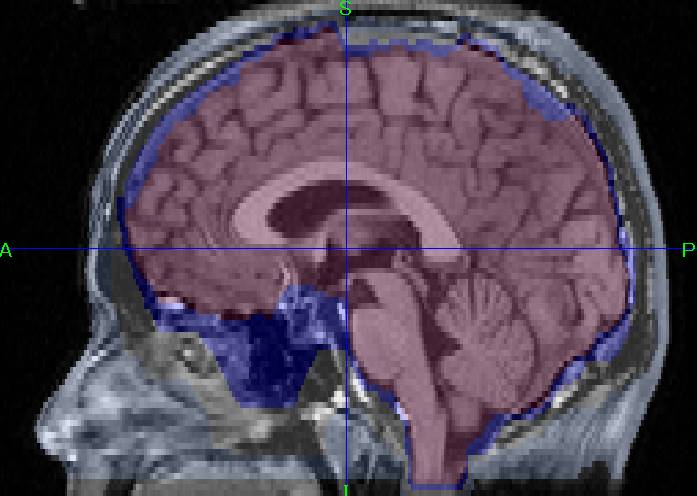
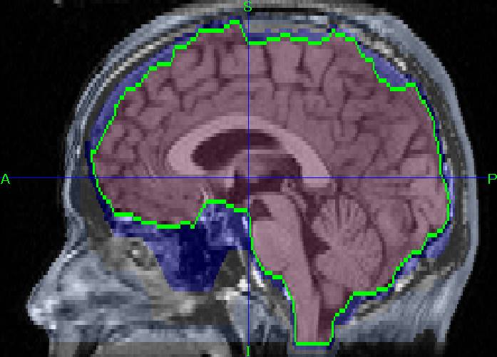
Open Volume...で元の〇〇.nii.gzを読み込みます。

次にOpen→Label
Volume...で〇〇.skull.label.nii.gzを読み込みます。

頭部を適当に色分けします。

Open→Mask Volume...で〇〇.mask.gzを読み込みます。

赤っぽいところだけが緑で囲まれます。

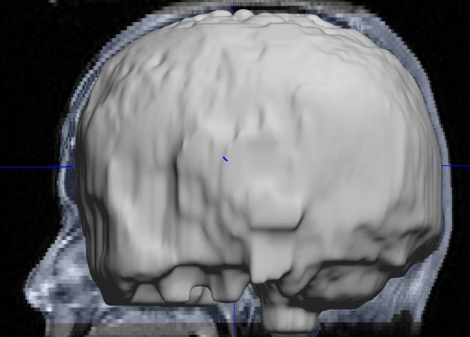
Open→Surface...を選択し、〇〇.scalp.dfsを選択します。

Surface View Onlyを選択します。

頭皮が表示されます。回転させます。

Surface DisplayのXYとXZのチェックを外します。

頭皮をドラッグして回転させます。

〇〇.scalp.dfsを選択して□showのチェックを外します。

Open→Surface.,.で〇〇.outer.skull.dfsを読むか、
![]()
を押して〇〇.outer.skull.dfsを読み込みます。

同様に〇〇.outer.skull.dfsを選択してshowのチェックを外し、
〇〇.inner.skull.dfsを読み込みます。

同様に〇〇.inner.skull.dfsを選択してshowのチェックを外し、
〇〇.brain.dfsを読み込みます。

〇〇.brain.dfsを選択してshowのチェックを外し、
File→Open Volume...から〇〇.bse.nii.gzを選択します。
bseはBrainSuite
Stripping Edgeか何かの略です。
要するに〇〇.nii.gzの〇〇.mask.nii.gz部分を抜き出したデータ、頭蓋骨が除去されたデータです。

File→Open Volume...から〇〇.bcf.nii.gzを選択します。
bfcはBrainSuite bias
field correctionの略だそうです。MRI信号の不均一性か何かを補正してるらしいです。

File→Open→Label Volume...から〇〇.pvc.label.nii.gzを選択します。
pvcは何の略かわかりませんが、白質・灰白質などの分類をしているそうです。

File→Open Volume...から〇〇.pvc.frac.nii.gzを読み込みます。
〇〇.pvc.frac.nii.gzはたぶん〇〇.bcf.nii.gzの信号強度を〇〇.pvc.label.nii.gzで白質・灰白質などの組織によって補正したものです。
この際に〇〇.airとか〇〇.warpというファイルが作成されますが、なにかは不明です。

File→Open→Label Volume...から〇〇.hemi.label.nii.gzを選択します。
大脳をラベルしたものだそうです。

File→Open→Mask Volume...から〇〇.cerebrum.mask.nii.gzを選択します。

Surface DisplayのXY、YZのチェックを外し、XZのチェックをONにします。

File→Open→Label Volume...から〇〇.init.cortex.mask.nii.gzを選択し、回転させます。
初回の皮髄境界initial inner cortexの内側が抽出されています。

File→Open→Label Volume...から〇〇.cortex.scrubbed.mask.nii.gzを選択します。
皮髄境界表面の不自然な凸凹をゴシゴシ削り取ったscrubbedマスクだそうです。

File→Open→Label Volume...から〇〇.cortex.tca.mask.nii.gzを選択します。
トポロジー補正されたマスクだそうです。topology corrected 何とかの略だと思います。

File→Open→Label Volume...から〇〇.cortex.dewisp.mask.nii.gzを選択します。
wispフィルタで皮髄境界の誤分類を補正したものだそうです。

File→Open→Surface...から〇〇.inner.cortex.dfsを読み込みます。

File→Open→Surface...から〇〇.pial.cortex.dfsを読み込みます。

〇〇.inner.cortex.dfsと〇〇.pial.cortex.dfsの□showのチェックをOFFにします。
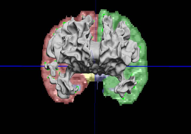
〇〇.right.inner.cortex.dfsと〇〇.left.inner.cortex.dfsを読み込みます。
solid colorをクリックして右は青、左は赤とします。


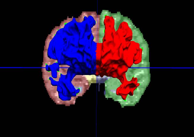
同様に〇〇.right.pial.cortex.dfsと〇〇.left.pial.cortex.dfsを読み込み、
右は青、左は赤とします。
